天白区で子どもを専門に診る歯医者の治療実績をご紹介

052-892-0841
  • 24時間受付ネット予約
  • 悩みを無料でメール相談
  • インスタグラム

治療症例集
  • *
  • *

受け口 8歳 男の子 インビザライン

8歳の男の子です。

透明のマウスピース矯正(インビザライン)を用いて治療をしました。

装置が何度か壊れたりトラブルもありましたが、交換頻度を変えながらなんとかここまでキレイになりました!

ゴムの使用も頑張ってくれたのでとてもきれいです!お母さんも非常に気さくな方で楽しく診療できました!

  • 治療前

    治療前

  • *
  • 治療後

    治療後

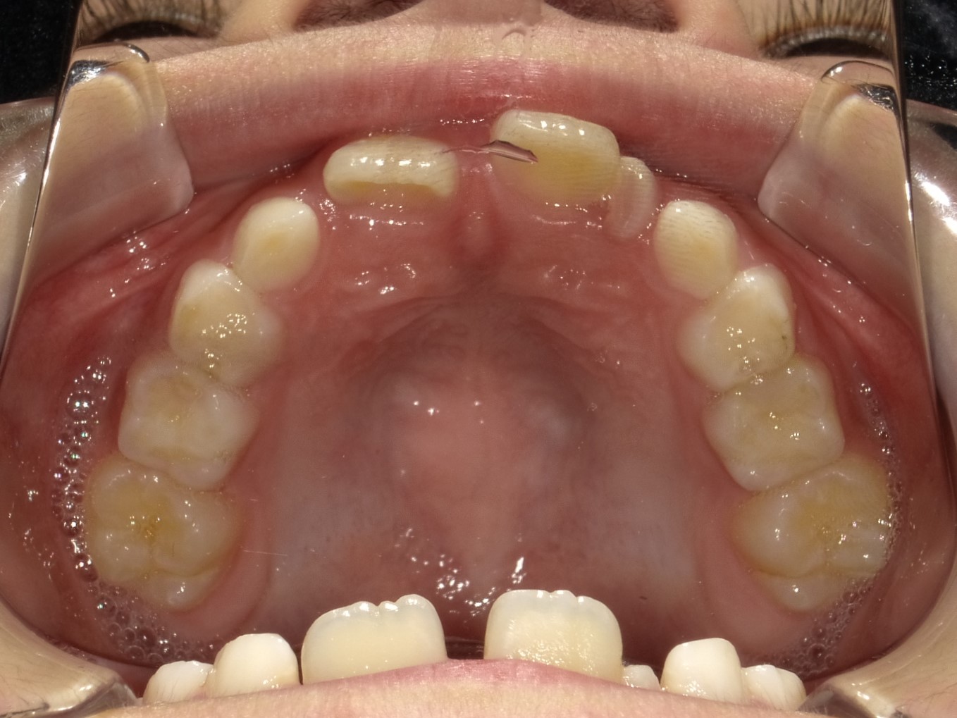
  • 治療前

    治療前

  • *
  • 治療後

    治療後

*
*
  • *

    インビザラインファースト使用

担当医 堀江将史
治療期間、回数 1年6ヶ月 14回
治療内容 itero(光学口腔内スキャナー)を用いてお口の中をスキャンします。
マウスピース型矯正装置を1日16時間使用(就寝時+学校午前中+在宅中)します。
マウスピースを1週間に1枚付け替えることで歯が少しずつ移動し、歯列を整えます。
2ヶ月に1度お口の中をチェックして追加でマウスピースをお渡しして使用していただきます。
※この患者様は上下の歯をゴムで引っ張り合う顎間ゴムを使用しました。
費用 ¥640,000+税
※来院ごとにチェック費用¥3,000+税
リスク・副作用
虫歯、歯肉炎、歯の変色、歯肉の退縮、歯根吸収、発音障害。
また治療中、歯・顎の違和感・痛みを伴うことがあります。

一覧へもどる